矯正治療
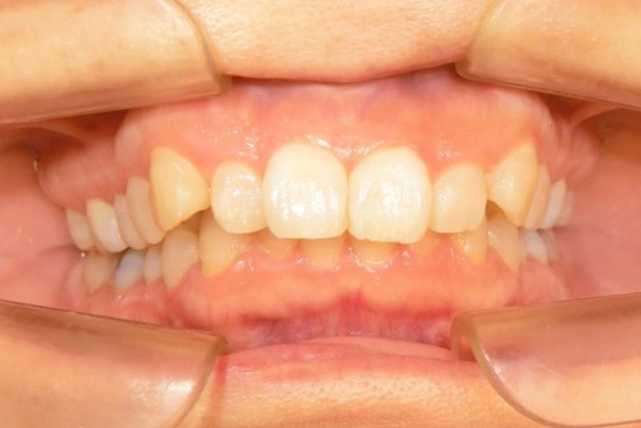
症例1
術前
術後
| 来院時の主訴 | 上下顎の叢生(歯並びがガタガタしている) |
|---|---|
| 医院での治療 | 矯正治療(ワイヤーでの矯正) |
| 治療で来院した期間 | 1年6か月 |
| 治療終了まで来院した回数 | 18回 |
| リスクと副作用 | 矯正移動に伴う歯の痛み、前歯部歯肉短縮の可能性等 |
| 費用の総額 | 矯正基本料 715,000円(税込) |
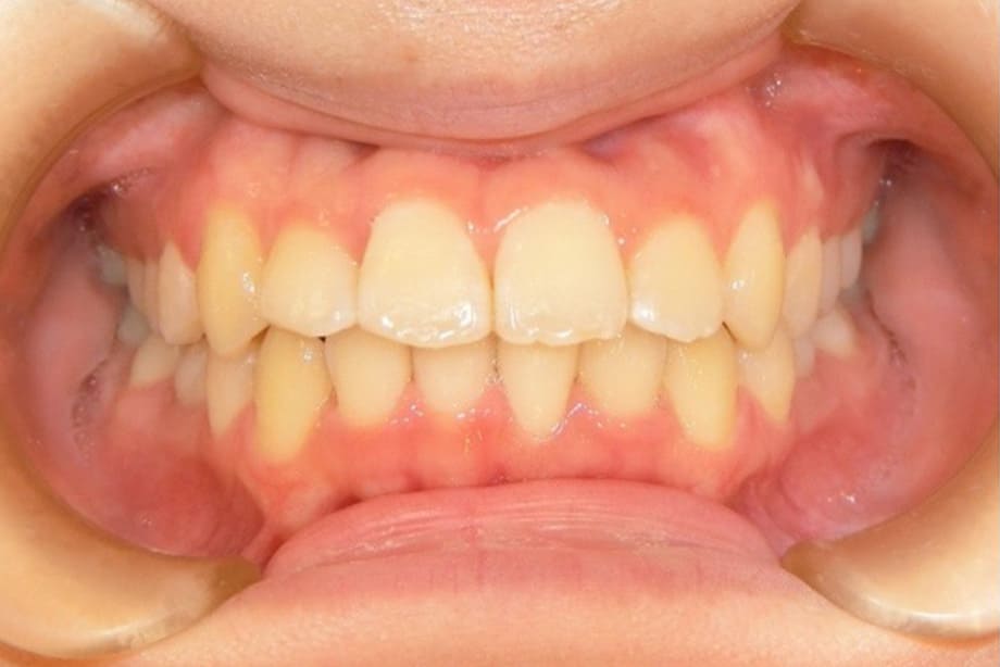
症例2
術前
術後
| 来院時の主訴 | 上下顎の叢生(歯並びのガタガタを治したい、歯を抜かず治療したい。) |
|---|---|
| 医院での治療 | マウスピース型矯正装置(インビザライン) |
| 治療で来院した期間 | 9カ月 |
| 治療終了まで来院した回数 | 7回 |
| リスクと副作用 | 矯正移動に伴う歯の痛み、前歯部歯肉短縮の可能性等 |
| 費用の総額 | 矯正基本料 495,000円(税込) |
症例3
術前
術後
| 来院時の主訴 | 正中離開(上の歯の真ん中が開いている) |
|---|---|
| 医院での治療 | マウスピース型矯正装置(インビザライン) |
| 治療で来院した期間 | 4カ月 |
| 治療終了まで来院した回数 | 4回 |
| リスクと副作用 | 矯正移動に伴う歯の痛み、前歯部歯肉短縮の可能性等 |
| 費用の総額 | 220,000円(税込) |








